hírek és pályázatok

A legrettegettebb betegségek jelei a halál előtt már 15 évvel is jelentkeznek! Rengeteg magyart érint!

A legrettegettebb betegségek jelei a halál előtt már 15 évvel is jelentkeznek! Rengeteg magyart érint!

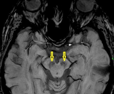
Hirtelen szívmegállás? Rák? Sokak által rettegett betegségek. Azonban van még ezeknél is kegyetlenebb: ilyen az Alzheimer kór, a felejtés betegsége, mikor az ember előbb csak a szavakat nem találja, aztán már a szeretteit sem ismeri fel, de nem képes már a WC-re sem kimenni. A másik kór, mellyel hosszú évekig kínlódnak az emberek, mielőtt meghalnak: a Parkinson....